Understanding Arthritis in Older Dogs: Signs and Treatments

hip dysplasia dr hart

Arthritis in Older Dogs: Signs, Treatment, and When to Seek Help

Arthritis is one of the most common medical problems affecting older dogs. It is also one of the most commonly missed. Many dog owners assume their senior dog is simply slowing down from age, when in reality the dog may be dealing with chronic joint pain every day.

The tricky part is that arthritis does not always look dramatic at first. Some dogs limp obviously. Others do not. Many just seem slower, stiffer, quieter, or less willing to do the things they once enjoyed.

At Bushnell Animal Clinic, one of the most important questions Dr. Roger Hart helps owners answer is this:

Is my dog just getting older, or is my dog in pain?

In many cases, arthritis is part of the answer.

What Is Arthritis in Dogs?

knee arthritis dog dr hart

Arthritis is a condition involving inflammation and degeneration within a joint. In older dogs, the most common form is osteoarthritis, also called degenerative joint disease.

Over time, the smooth structures that normally help a joint move comfortably begin to wear down. As that happens, the joint becomes more painful, less flexible, and less efficient. Movement can become uncomfortable, especially after rest, after exercise, or when climbing, jumping, or standing up.

Arthritis can affect many joints, including:

  • hips

  • knees

  • elbows

  • shoulders

  • spine

  • toes and smaller joints

Some dogs have one especially painful area. Others have several joints affected at the same time.

Why Arthritis Is So Common in Older Dogs

As dogs age, years of wear and tear on the joints add up. Some dogs also have underlying orthopedic issues that make arthritis more likely later in life.

Common reasons older dogs develop arthritis include:

  • normal joint wear over time

  • previous injury

  • cruciate ligament injury

  • hip dysplasia

  • elbow dysplasia

  • luxating patella

  • excess body weight

  • chronic strain on joints

Large-breed dogs are often affected, but arthritis can happen in dogs of any size.

Signs of Arthritis in Older Dogs

dog arthritis dr hart

Many owners expect arthritis to look like obvious limping all the time. Sometimes it does. But more often, the signs are more subtle.

Common signs include:

  • stiffness after rest

  • slower rising

  • limping

  • reluctance to jump

  • hesitation on stairs

  • less interest in walks

  • tiring more easily

  • difficulty getting into the car

  • slipping on floors

  • sitting or lying down more often

  • irritability when touched

  • licking at joints

Some dogs show only one or two of these signs at first. Others seem to “warm out of it” once they get moving, which makes the problem easy to miss.

The Difference Between Slowing Down and Arthritis

knee arthritis bushnell fl

Many dogs with arthritis are described the same way:

These changes may sound like normal aging, but they are often signs of discomfort.

Normal aging may mean a dog has slightly less stamina or prefers more rest. Arthritis is different because it causes pain, stiffness, and reduced mobility.

If your older dog is avoiding movement, hesitating with stairs, or seeming stiff after rest, arthritis should be strongly considered.


How to Tell if My Dog Is Slowing Down From Age or Illness

Dogs Often Hide Arthritis Pain

dog in pain

One reason arthritis is so commonly missed is that dogs do not always show pain in obvious ways.

Many dogs with chronic arthritis pain:

  • do not cry out

  • do not limp dramatically

  • do not stop walking entirely

Instead, they simply change their habits. They may sleep more, avoid stairs, stand more carefully, or lose interest in activities they once enjoyed.

Owners sometimes do not realize how uncomfortable the dog has become until treatment starts and the dog begins acting younger again.

Common Joints Affected by Arthritis

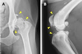
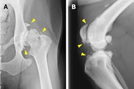
hip arthritis dog

Hips

Hip arthritis is very common in older dogs and may cause trouble rising, stiffness, or a swaying rear gait.

Knees

knee arthritis dog

Dogs with knee arthritis may limp, hold up a leg, or move more stiffly after activity. Previous cruciate injuries often lead to arthritis.

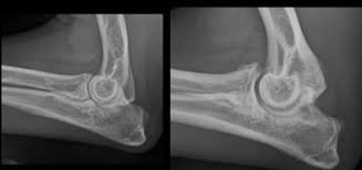
Elbows

dog elbow arthritis

Elbow arthritis may cause front-leg limping, especially after rest or exercise.

Spine

ivdd dog dr hart

Spinal arthritis may cause stiffness, reluctance to turn, difficulty getting comfortable, or pain when touched.

What Owners May Notice at Home

Some of the earliest clues happen in daily life.

You may notice your dog:

  • takes longer to stand up

  • stretches more when first getting up

  • avoids slick floors

  • does not want to jump into the car

  • stops halfway on stairs

  • lags behind on walks

  • lies down more often during outdoor time

  • seems more reluctant in the morning

These are exactly the kinds of changes owners often call “slowing down,” but they are often much more than that.

Can Arthritis Cause Weight Loss or Appetite Changes?

Arthritis does not usually cause major appetite loss by itself, but chronic pain can reduce overall comfort and make some dogs less interested in activity, movement, and even meals.

More often, arthritis contributes indirectly by:

  • reducing exercise

  • causing muscle loss

  • lowering quality of life

  • making a dog seem tired or withdrawn

A dog with arthritis may gradually lose rear leg muscle or overall body condition because they are moving less and using painful joints less normally.


Senior Dog Weight Loss: Common Causes
Why Is My Senior Dog Not Eating?

What Makes Arthritis Worse?

Several things can make arthritis signs more noticeable or more severe:

  • extra body weight

  • cold weather

  • overexertion

  • jumping

  • slippery flooring

  • untreated orthopedic disease

  • poor muscle condition

Weight is especially important. Even modest excess weight puts additional stress on already painful joints.

How Arthritis Is Diagnosed

At Bushnell Animal Clinic, Dr. Roger Hart would usually diagnose arthritis based on a combination of:

  • physical examination

  • gait assessment

  • joint manipulation

  • history from the owner

  • x-rays when needed

A dog’s history matters a lot. Owners often provide the first major clues through changes they have seen at home, such as difficulty rising or reluctance to walk.

X-rays can help confirm arthritic changes in many cases, especially when treatment planning needs more detail.

Treatment Options for Arthritis in Older Dogs

Treatment depends on the severity of arthritis, the dog’s weight, mobility, other medical conditions, and overall quality of life.

Management may include:

Weight control

Weight management is one of the most important arthritis treatments. Less body weight means less pressure on painful joints.

Controlled exercise

Gentle, consistent exercise often helps more than complete inactivity. The goal is to keep joints moving without overloading them.

Pain relief

Pain-control medications may be recommended depending on the dog and the severity of disease.

Joint support

Some dogs may benefit from joint-support strategies as part of a larger plan.

Home changes

Simple home adjustments can help a lot, such as:

  • rugs on slick floors

  • ramps

  • softer bedding

  • easier access to favorite areas

Advanced arthritis support

Some dogs may benefit from injectable or multimodal pain-control options depending on the case.

The Role of Weight Loss

Weight loss is one of the most helpful things many arthritic dogs can achieve if they are overweight.

Owners often underestimate how much even a small reduction in weight can help mobility and comfort. A lighter dog places less strain on painful hips, knees, elbows, and spine.

For many dogs, weight loss is not an “extra.” It is part of the treatment.

Can Arthritis Be Fixed?

Arthritis usually cannot be “cured” in the sense of making the joint young again. But that does not mean nothing can be done.

The goal of treatment is to:

  • reduce pain

  • improve movement

  • support muscle strength

  • slow further decline

  • improve quality of life

Many older dogs do very well once their arthritis is recognized and managed properly.

Prognosis for Older Dogs with Arthritis

The prognosis for arthritis is often good for improved comfort, especially when the condition is identified early and managed consistently.

Arthritis is usually chronic, meaning it tends to be managed rather than cured. Some dogs have mild disease and remain comfortable for a long time. Others need more involved long-term care.

The biggest factor is not whether arthritis exists. It is whether it is recognized and treated.

When to See Dr. Hart

You should schedule an evaluation with Dr. Roger Hart if your dog:

  • seems stiff after rest

  • is limping

  • is slower getting up

  • avoids stairs

  • does not want to jump

  • is less interested in walks

  • seems painful when touched

  • is losing rear leg muscle

  • is generally slowing down

The earlier arthritis is identified, the sooner comfort-focused care can begin.

How to Help an Arthritic Dog at Home

If your dog has arthritis or may have arthritis, simple home support can help:

  • keep floors from being slippery

  • provide soft bedding

  • avoid repeated jumping

  • use controlled, gentle exercise

  • keep body weight healthy

  • watch closely for changes in mobility

Owners often make a major difference through these daily adjustments.

Why Arthritis Matters for Quality of Life

Arthritis is more than just stiffness. It affects how a dog moves through daily life.

A dog with untreated arthritis may:

  • stop enjoying walks

  • avoid family activity

  • rest more because movement hurts

  • become frustrated or irritable

  • lose strength over time

That is why arthritis should never be dismissed as “just old age.” Pain changes quality of life, even when the dog is quiet about it.

Conclusion

Arthritis in older dogs is extremely common and often underrecognized. Many senior dogs who seem to be slowing down are actually living with chronic joint pain.

If your dog is stiff, limping, slower rising, less interested in walks, or struggling with stairs, arthritis should be considered. At Bushnell Animal Clinic, Dr. Roger Hart helps families recognize the signs of arthritis, understand treatment options, and improve comfort for older dogs through thoughtful medical care and long-term support.

FAQs

What are the first signs of arthritis in older dogs?

Common early signs include stiffness after rest, slower rising, limping, hesitation with stairs, and less interest in walks or jumping.

Is my dog slowing down from age or arthritis?

Sometimes it is both, but many dogs blamed as “just old” are actually dealing with arthritis pain.

Can arthritis cause a dog to limp?

Yes. Arthritis can cause limping, stiffness, or reduced weight-bearing, especially after rest or activity.

Does arthritis in dogs get worse over time?

It can. Arthritis is usually a chronic condition that may gradually worsen without management.

Can arthritis be treated in older dogs?

Yes. While arthritis usually cannot be cured, many dogs improve significantly with proper management.

Does weight affect arthritis in dogs?

Yes. Extra body weight places more strain on painful joints and can worsen arthritis signs.

Should I take my old dog to the vet for stiffness?

Yes. Stiffness is often a sign of pain or joint disease and should be evaluated.

Can arthritis affect a dog’s quality of life?

Absolutely. Arthritis can reduce comfort, mobility, activity, and overall enjoyment of daily life.









Previous
Previous

Know When Your Dog or Cat Needs More Quality of Life

Next
Next

Understanding Why Your Senior Cat Is Not Eating